Microwave Ablation System

Introducing Sagta Engineering Microwave Ablation (MWA) System
Cutting-edge solution for minimally invasive tumor treatment.

Engineered for accuracy, efficiency, and patient safety

The advanced MWA device delivers controlled, high-energy microwave heat to target and destroy tumors with minimal damage to surrounding healthy tissue.
Ideal for liver, lung, kidney, and bone lesions, this system offers faster ablation times, larger treatment zones, and superior performance compared to traditional methods.
Whether for oncology, interventional radiology, or surgical specialties, Sagta Engineering MWA technology empowers clinicians with reliable, repeatable, and effective tumor ablation — helping improve patient outcomes with every procedure.
Precision-Controlled Peristaltic Pump facilitating the cooling system of the probe with higher pressure and stable flow rate
MWA module front view, with peristaltic pump
Solid-State Emitter Source providing precise and stable energy output with maintenance free operation
Approved

Advanced Accessories

  • Triangular needle tip Facilitates puncture
  • Length - up to 250mm
  • Finest outer diameter 14G-18G
  • Temperature control mode with one-touch activation
  • Fully water-cooled needleReduces tissue charring and adhesion
  • Handle buttons with wireless foot pedal

User Friendly HMI

Applications

Indications for cancer treatment

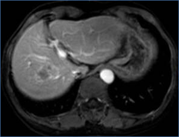
Liver Cancer

CT image of liver before treatment
Primary liver cancer, maximum diameter 4.3 cm
CT image of liver during MWA
CT-guided microwave ablation
CT image of liver after the MWA treatment
Enhanced CT one month after ablation

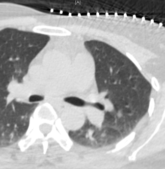
Pulmonary Nodule

CT image Pulmonary nodule before MWA
Primary lung cancer, preoperative examination
CT image of pulmonary nodule during MWA
CT-guided microwave ablation
CT image of liver after the MWA treatment
Enhanced CT after ablation