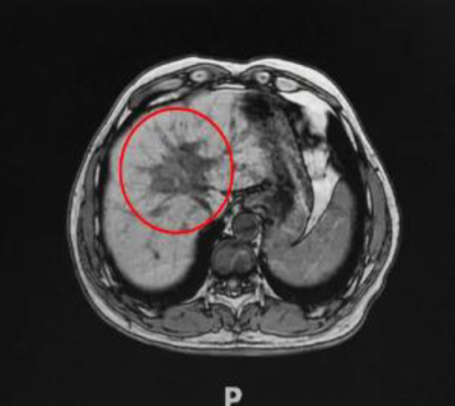
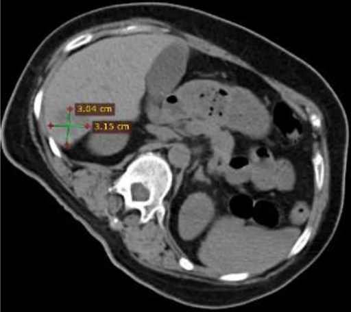
Ablation site with clear visible boundary on imaging
Ultra-low temperature ablation stimulates immune response to tumor cells
Functioning as local anesthesia in the site

Highly differentiated interventional composite ablation technology (cryoablation and thermal ablation) via a single probe and console.








